ブルーラジカル症例|松井デンタルオフィス|流山市|流山おおたかの森駅の歯科

〒270-0128 千葉県流山市おおたかの森西1-4-3 ザ・ハウスおおたかの森101
東武アーバンパークライン・つくばエクスプレス「流山おおたかの森駅」西口徒歩1分
04-7170-2466
ヘッダー画像

ブルーラジカル症例

ブルーラジカル症例|松井デンタルオフィス|流山市|流山おおたかの森駅の歯科

求人募集

松井デンタルオフィスを
受診される患者様へ

お電話でお問い合わせされる前に
ご確認ください

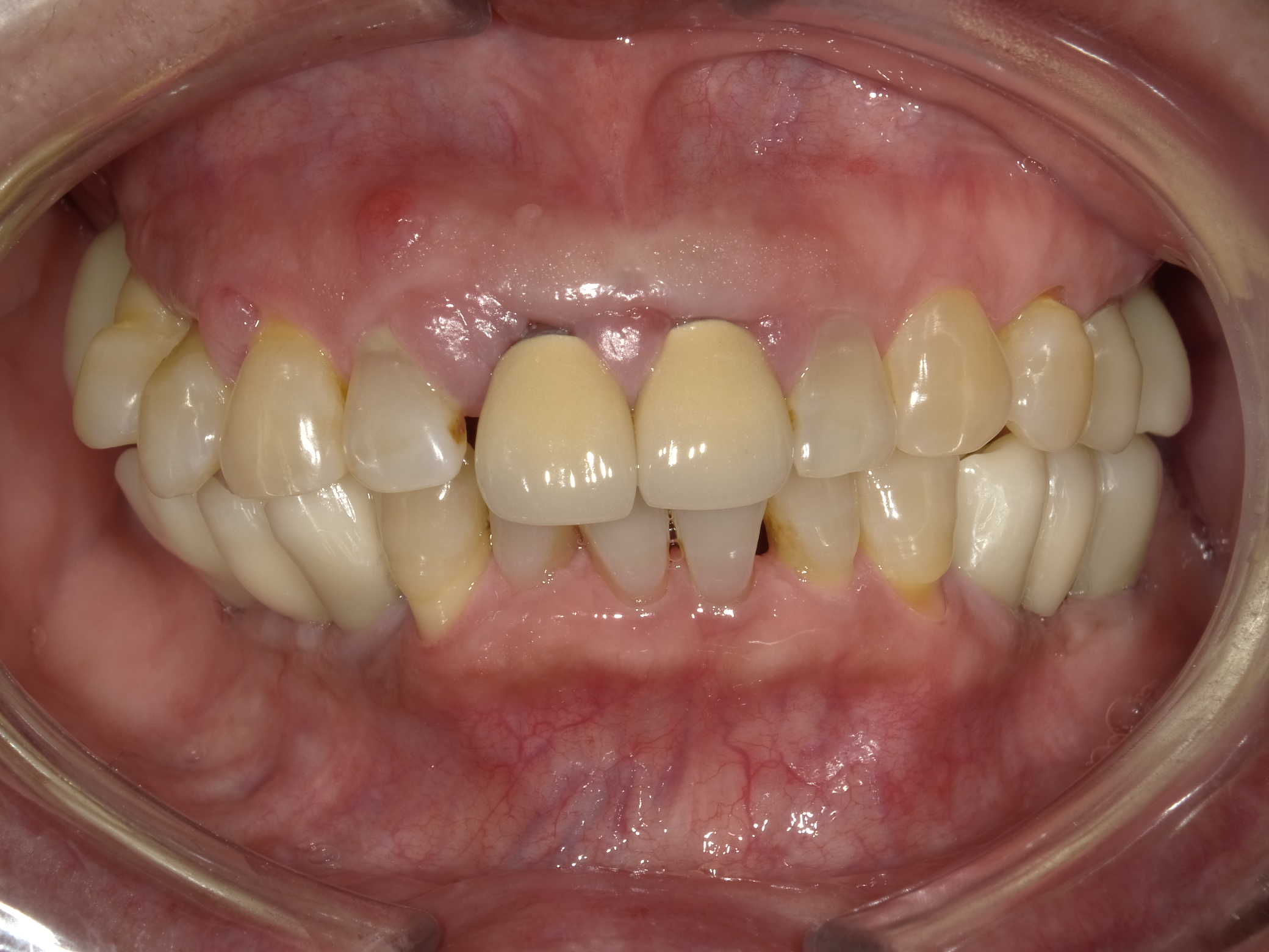
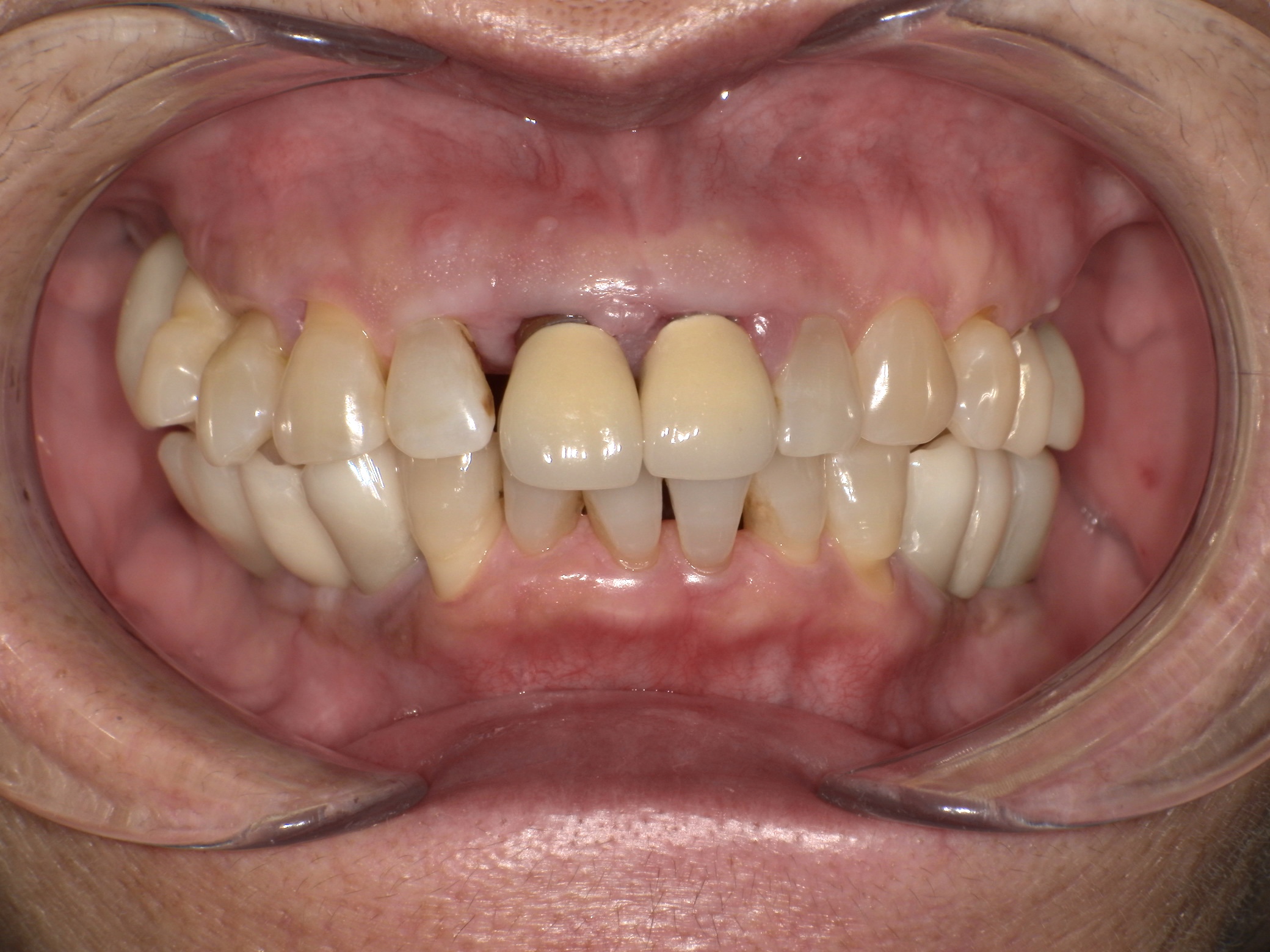
ブルーラジカル治療例①

Before

After

サムネイルをクリックタップすると
大きく表示されます。

治療内容
ブルーラジカル治療を各歯へ3ー5分の連続照射
治療期間・回数
治療期間3ヶ月(術前の歯肉への歯周基本治療、術後のチェックおよびクリーニングを含む)
治療回数1回  約30分
費用
18,000円(税込)/1歯
リスク・副作用
副作用:特記事項はありません。抗生物質などに頼らない依存性の少ない治療法です。
リスク:この治療は患者様自身のセルフケアも非常に重要です。口腔内状態が悪い患者様に対してブルーラジカル治療のみで歯周病が治ることはありません。当院ではブルーラジカル治療の効果を最大限上げるために、歯科衛生士と共に適切なケア方法をご一緒に考えます。また、歯周再生療法と異なり歯肉は引き締まるため、歯が長くなった様に見える場合があります。

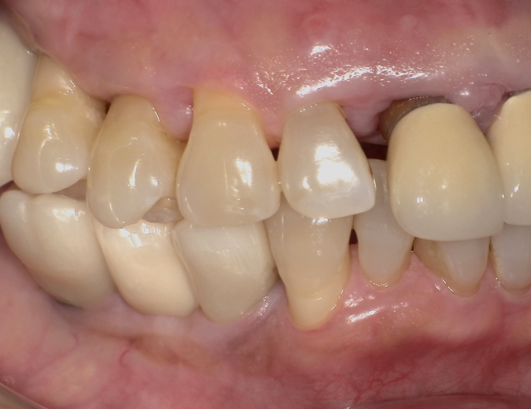
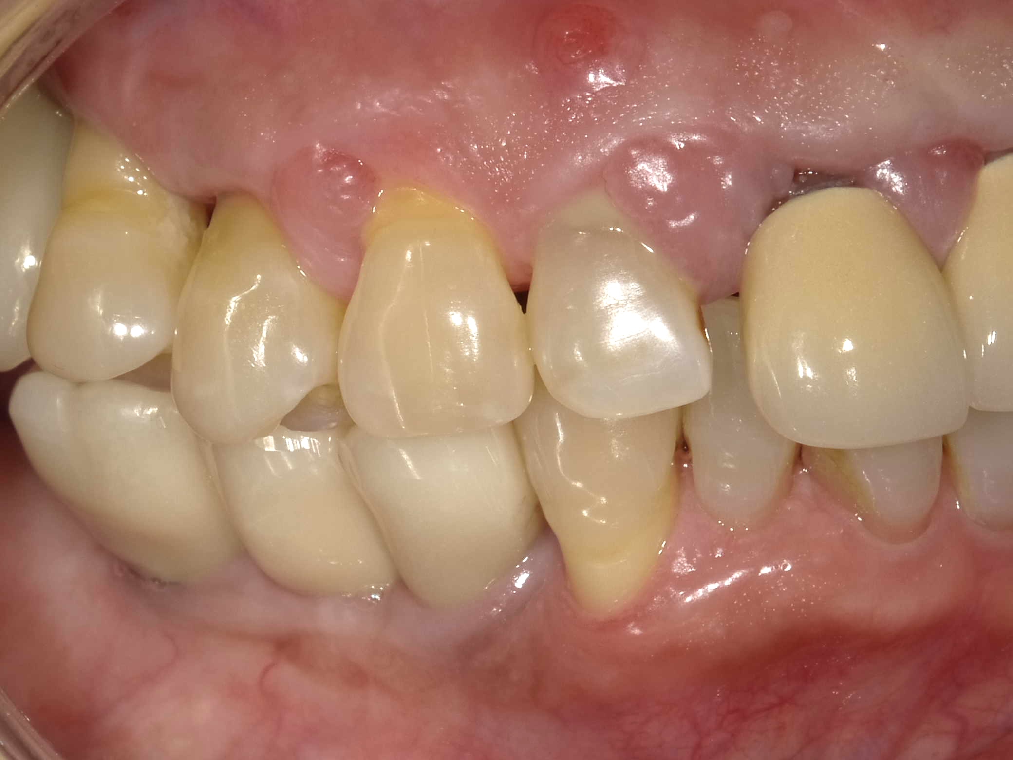
ブルーラジカル症例②

Before

After

サムネイルをクリックタップすると
大きく表示されます。

治療内容
ブルーラジカル治療を各歯へ3ー5分の連続照射
治療期間・回数
治療期間3ヶ月(術前の歯肉への歯周基本治療、術後のチェックおよびクリーニングを含む)
治療回数1回  約30分
費用
18,000円(税込)/1歯
リスク・副作用
副作用:特記事項はありません。抗生物質などに頼らない依存性の少ない治療法です。
リスク:この治療は患者様自身のセルフケアも非常に重要です。口腔内状態が悪い患者様に対してブルーラジカル治療のみで歯周病が治ることはありません。当院ではブルーラジカル治療の効果を最大限上げるために、歯科衛生士と共に適切なケア方法をご一緒に考えます。また、歯周再生療法と異なり歯肉は引き締まるため、歯が長くなった様に見える場合があります。
TOPへ戻る